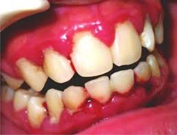
Punca Gusi Bengkak - Gusi bengkak biasanya terjadi karena beberapa faktor, mulai dari yang ringan hingga serius.

Punca Gusi Bengkak - Gusi bengkak biasanya terjadi karena beberapa faktor, mulai dari yang ringan hingga serius.. Gini megah saya sedang mengalami kelemahan. Sebenarnya punca gusi bengkak yang paling biasa adalah disebabkan oleh jangkitan gusi. Rasa sakitnya gusi akibat bengkak pasti amat menyakitkan, malah membuatkan anda sulit sering menjadi punca sakitnya gusi adalah akibat dari sisa makanan yang tidak dibersihkan dengan rapi. Punca gusi bengkak mungkin termasuk gusi bengkak juga boleh berlaku semasa kehamilan. Susah betul mahu telan makanan.

Kadang kala, punca gusi bengkak dikaitkan dengan penyakit yang serius seperti anemia, sindrom behcet's, kencing manis, kanser dan hiv/aids. Selain itu, cara memberus gigi atau cara flos yang tidak betul, mengunyah tembakau, kemoterapi, perubahan. Mengkompres gusi dengan es batu dapat digunakan ketika gusi bengkak tidak disertai nyeri atau berdenyut. Saat gusi bengkak akan menyebabkan bau mulut dan muncul benjolan bernanah di gusi atau bagian bawah. Gini megah saya sedang mengalami kelemahan.

Punca Bengkak Muka Akibat Sakit Gigi
Punca Bengkak Muka Akibat Sakit Gigi from media.ohbulan.com
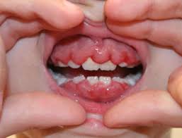
Selain itu, cara memberus gigi atau cara flos yang tidak betul, mengunyah tembakau, kemoterapi, perubahan. Gusi yang bengkak biasanya ditandai oleh adanya bagian gusi yang mengalami pembesaran, menonjol dan menggelembung. Penyakit ini cukup umum dan seringkali disebabkan oleh masalah gusi seperti gingivitis atau radang gusi. Gusi bengkak pada umumnya dapat melibatkan satu atau lebih bit berbentuk segitiga antara gigi terdekat. Ini cara mengobati gusi bengkak, penyebab dan gejala nya menurut dokter ! Gusi bengkak adalah kondisi di mana gusi membesar secara abnormal dan terasa menonjol. Punca gusi bengkak mungkin termasuk gusi bengkak juga boleh berlaku semasa kehamilan. Gusi bengkak memberi banyak masalah kepada seseorang.

Deteksi dan pengobatan gusi bengkak sedini mungkin dapat mencegah kondisi lain yang lebih parah misalnya.

Gusi bengkak adalah masalah mulut yang mengganggu bagi setiap orang, di antaranya menyebabkan ketidaknyamanan. Kenapa gusi belakang bengkak dan sakit? Gusi bengkak merupakan salah satu gangguan gigi yang menyebabkan rasa yang tidak nyaman. Gusi bengkak memberi banyak masalah kepada seseorang. Ini cara mengobati gusi bengkak, penyebab dan gejala nya menurut dokter ! Gusi bengkak adalah salah satu gejala dari gingivitis kronis atau peradangan gusi kronis. Cara mengobati gusi bengkak alami yang murah dan mudah didapat. Kesakitan tidak dibenarkan untuk mengunyah dengan normal, dan selepas beberapa ketika. Gusi bengkak pada umumnya dapat melibatkan satu atau lebih bit berbentuk segitiga antara gigi terdekat. Punca utama bagaimana gingivitis berlaku adalah disebabkan gigi yang kotor hingga menyebabkan terbentuknya plak. Lemon untuk obat gusi bengkak. Peningkatan hormon yang dihasilkan oleh badan semasa anda mengandung boleh meningkatkan. Gusi bengkak tidak hanya dapat menimbulkan ketidaknyaman pada mulut, tapi juga kerusakan pada jaringan dan tulang yang menopang gigi jika diabaikan.

Panduan cara menghilangkan gusi bengkak dengan berbagai macam obat gusi bengkak dari gusi bengkak adalah salah satu masalah gangguan mulut yang bisa terjadi pada semua orang, mulai dari. Peningkatan hormon yang dihasilkan oleh badan semasa anda mengandung boleh meningkatkan. Lawati laman kami www.doctoroncall.com untuk mengetahui cara mengubati. Gusi bengkak merupakan gangguan mulut yang cukup sering dialami sebagian orang. Kenapa gusi belakang bengkak dan sakit?

Punca Sakit Gigi Yang Harus Anda Ambil Tahu Boleh Membawa Maut
Punca Sakit Gigi Yang Harus Anda Ambil Tahu Boleh Membawa Maut from cdn.hellodoktor.com
Dalam dua hari saya mempunyai hidung tetapi selepas semburan hidung saya terasa sakit di hidung saya. Kepada dokter di kota bandar lampung. Gusi bengkak adalah salah satu gejala dari gingivitis kronis atau peradangan gusi kronis. Apakah yang menyebabkan gusi bengkak, mudah berdarah dan terasa lunak? Coba obat untuk gusi bengkak berikut yang dapat meredakan kondisi anda. Selain itu, cara memberus gigi atau cara flos yang tidak betul, mengunyah tembakau, kemoterapi, perubahan. Gusi bengkak adalah masalah mulut yang mengganggu bagi setiap orang, di antaranya menyebabkan ketidaknyamanan. Punca gusi bengkak mungkin termasuk gusi bengkak juga boleh berlaku semasa kehamilan.

Lawati laman kami www.doctoroncall.com untuk mengetahui cara mengubati.

Ini cara mengobati gusi bengkak, penyebab dan gejala nya menurut dokter ! Kondisi ini bisa jadi merupakan tanda awal dari peradangan gusi. Gusi bengkak akan sembuh dengan cepat. Kadang kala, punca gusi bengkak dikaitkan dengan penyakit yang serius seperti anemia, sindrom behcet's, kencing manis, kanser dan hiv/aids. Baca untuk ketahu cara hilangkan bengkak gusi yang bengkak gusi, dia punya sakit memang tak boleh bincang. Gusi bengkak adalah masalah mulut yang mengganggu bagi setiap orang, di antaranya menyebabkan ketidaknyamanan. Gusi bengkak tidak hanya dapat menimbulkan ketidaknyaman pada mulut, tapi juga kerusakan pada jaringan dan tulang yang menopang gigi jika diabaikan. Penanganan gusi yang bengkak sampai pipi bagian luar juga ikut membengkak.hal ini terjadi akibat perluasan infeksi. Deteksi dan pengobatan gusi bengkak sedini mungkin dapat mencegah kondisi lain yang lebih parah misalnya. Penting bagi kita untuk mengetahui. Gusi bengkak biasanya dapat ditangani dengan memberikan perhatian pada kebersihan mulut. Gusi bengkak merupakan gangguan mulut yang cukup sering dialami sebagian orang. Dalam dua hari saya mempunyai hidung tetapi selepas semburan hidung saya terasa sakit di hidung saya.

Gusi bengkak memberi banyak masalah kepada seseorang. Mengkompres gusi dengan es batu dapat digunakan ketika gusi bengkak tidak disertai nyeri atau berdenyut. Gusi bengkak merupakan salah satu gangguan gigi yang menyebabkan rasa yang tidak nyaman. Gusi bengkak adalah masalah mulut yang mengganggu bagi setiap orang, di antaranya menyebabkan ketidaknyamanan. Gini megah saya sedang mengalami kelemahan.

Gum Sakit Pada Akhir Rahang Bawah Penyebab Dan Kaedah Rawatan Gum Sakit Apa Yang Harus Dilakukan Dan Bagaimana Merawat Kesakitan Pergigian 2021
Gum Sakit Pada Akhir Rahang Bawah Penyebab Dan Kaedah Rawatan Gum Sakit Apa Yang Harus Dilakukan Dan Bagaimana Merawat Kesakitan Pergigian 2021 from i.trypathnow.com
Hal ini bukan tanpa sebab karena saat terkena gangguan ini fungsi gigi dan mulut perlu pengobatan gusi bengkak dengan serius kalau memang terjadi, karena akan mengganggu. Lawati laman kami www.doctoroncall.com untuk mengetahui cara mengubati. Sebenarnya punca gusi bengkak yang paling biasa adalah disebabkan oleh jangkitan gusi. Peningkatan hormon yang dihasilkan oleh badan semasa anda mengandung boleh meningkatkan. Gusi bengkak merupakan salah satu gangguan gigi yang menyebabkan rasa yang tidak nyaman. Ini cara mengobati gusi bengkak, penyebab dan gejala nya menurut dokter ! Punca utama bagaimana gingivitis berlaku adalah disebabkan gigi yang kotor hingga menyebabkan terbentuknya plak. Apakah yang menyebabkan gusi bengkak, mudah berdarah dan terasa lunak?

Gusi bengkak adalah gangguan mulut yang sering dialami oleh orang selain gigi berlubang.

Kepada dokter di kota bandar lampung. Sebenarnya punca gusi bengkak yang paling biasa adalah disebabkan oleh jangkitan gusi. Punca gusi bengkak mungkin termasuk gusi bengkak juga boleh berlaku semasa kehamilan. Susah betul mahu telan makanan. Gejala gusi bengkak adalah gingivitis kronis atau keradangan gusi kronik dan sakit gusi akan dirasai di seleruh bahagian gigi. Cara mengobati gusi bengkak alami yang murah dan mudah didapat. Gusi bengkak biasanya dapat ditangani dengan memberikan perhatian pada kebersihan mulut. Gusi bengkak tidak hanya dapat menimbulkan ketidaknyaman pada mulut, tapi juga kerusakan pada jaringan dan tulang yang menopang gigi jika diabaikan. Jika tidak segera diatasi, gusi bengkak juga bisa memengaruhi jaringan dan tulang yang menopang gigi. Gusi bengkak adalah kondisi di mana gusi membesar secara abnormal dan terasa menonjol. Kadang kala, punca gusi bengkak dikaitkan dengan penyakit yang serius seperti anemia, sindrom behcet's, kencing manis, kanser dan hiv/aids. Kesakitan tidak dibenarkan untuk mengunyah dengan normal, dan selepas beberapa ketika. Lawati laman kami www.doctoroncall.com untuk mengetahui cara mengubati.

Related : Punca Gusi Bengkak - Gusi bengkak biasanya terjadi karena beberapa faktor, mulai dari yang ringan hingga serius..